CASE/10 前歯部インプラント審美補綴

症例について

患者情報
40代女性
治療部位
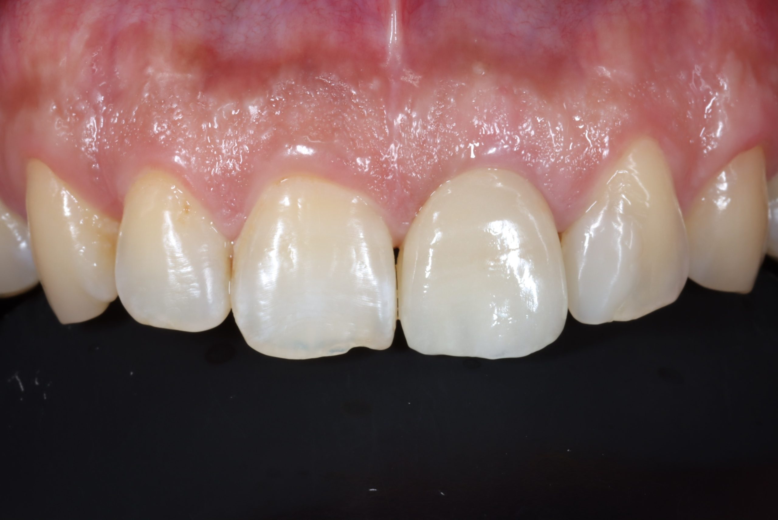
21
撮影日
2025年11月
抜歯即時埋入後、プロビジョナルクラウンを製作し、スクリュー固定タイプのジルコニアセラミッククラウンを製作しています
関連する他の症例
インプラント, 審美歯科

CASE04/インプラント上部構造、ラミネートべニア

Studio Prof Bracchetti(イタリア ミラノ市)